Hoy arrancamos el primer capítulo de nuestra serie ‘Piensa clinicamente’: el primer paso para convertir el conocimiento en decisiones reales. Como sabéis, en las ciencias de la salud, estudiar no consiste solo en memorizar información; consiste en comprender, analizar y aplicar el conocimiento para tomar decisiones que impactarán directamente en la vida de vuestros futuros pacientes. De esta premisa nace esta nueva serie, un espacio creado para acompañaros en el desarrollo de una habilidad esencial: el razonamiento clínico.
Inspirándonos en iniciativas educativas de Elsevier enfocadas en transformar la educación médica, queremos mostrar cómo las herramientas digitales pueden ayudarte a estudiar de forma más estratégica, integrar conocimientos y prepararte para la práctica clínica real.
¿Qué significa pensar clínicamente?
Pensar clínicamente implica ir más allá de los apuntes y preguntarte:
- ¿Qué le está ocurriendo realmente al paciente?
- ¿Qué datos son relevantes y cuáles no?
- ¿Qué diagnóstico es más probable?
- ¿Qué decisiones debo tomar y por qué?
Esta habilidad no se desarrolla de un día para otro. Se construye mediante la práctica, el análisis de casos y el acceso a información confiable y bien estructurada.
El razonamiento clínico se entrena desde el aula, no solo en el hospital. Cada vez que relacionas síntomas con fisiopatología, que comparas diagnósticos diferenciales o que intentas entender el “por qué” detrás de un tratamiento, estás entrenando tu mente clínica. Aquí es donde contar con herramientas adecuadas marca una gran diferencia.
Precauciones en la hemorragia subaracnoidea
Para nuestro primer paso nos hemos ido a ClinicalKey Student, nuestra plataforma de aprendizaje interactivo no es solo una biblioteca digital: es un entorno diseñado para ayudarte a comprender, integrar y aplicar conocimientos clínicos. Para este estreno, hemos tomado la obra de referencia Clasificación de Intervenciones de Enfermería (NIC), y a tu primera situación clínica: Precauciones en la hemorragia subaracnoidea.
Definición: Disminución de estímulos o factores estresantes internos y externos para minimizar el riesgo de hemorragias recidivantes antes de una cirugía o un procedimiento endovascular para reparar la rotura del aneurisma.
Actividades:
- Colocar al paciente en una habitación individual.
- Reposo en cama con inodoro portátil a la cabecera del paciente, según corresponda.
- Mantener la habitación a oscuras.
- Disminuir los estímulos en el ambiente del paciente.
- Limitar el uso de la televisión, la radio y otros estimulantes.
- Monitorizar la respuesta a las visitas.
- Limitar las visitas, si está indicado.
- Informar al paciente y a la familia sobre la necesidad de modificaciones del entorno y limitaciones de las visitas.
- Administrar sedación, si es necesario.
- Administrar medicamentos contra el dolor a demanda.
- Monitorizar el estado neurológico.
- Notificar al médico el deterioro neurológico.
- Monitorizar el pulso y la presión arterial.
- Mantener los parámetros hemodinámicos dentro de los límites prescritos.
- Monitorizar la presión intracraneal y la presión de perfusión cerebral, si está indicado.
- Monitorizar la eliminación y las características del LCR, si está indicado.
- Administrar ablandadores de heces.
- Evitar la estimulación rectal.
- Enseñar al paciente a no hacer esfuerzos al defecar ni realizar la maniobra de Valsalva.
- Tomar precauciones contra la aparición de crisis comiciales.
- Administrar fármacos anticomiciales, según corresponda.

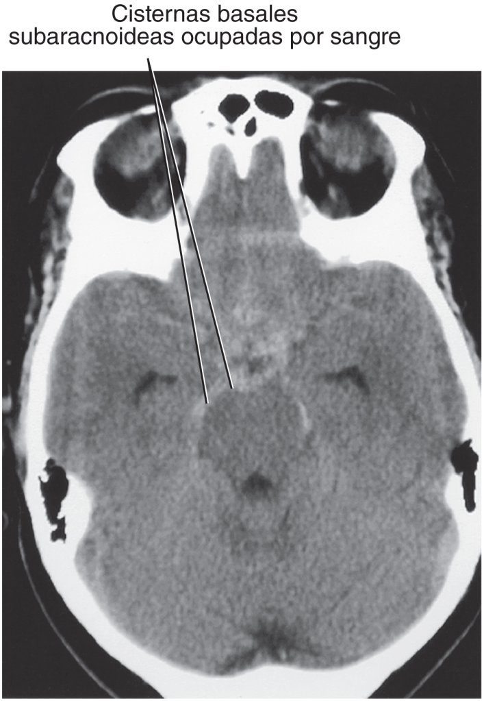
Imagen: Hemorragia subaracnoidea. Las hemorragias subaracnoideas pueden presentarse en pacientes que han sufrido traumatismos cerebrales de consideración, aunque normalmente se producen por la rotura de un aneurisma intracerebral que afecta a vasos relacionados con el círculo arterial (polígono de Willis). Descripción: Hemorragia subaracnoidea. Tomografía computarizada axial del encéfalo. 127 La tomografía computarizada del cerebro muestra cisternas subaracnoideas basales marcadas con una etiqueta que dice ‘Cisternas basales subaracnoideas ocupadas por sangre’. Fuente: Gray. Anatomía básica. Drake, Richard L., PhD, FAAA; Vogl, A. Wayne, PhD, FAAA; Mitchell, Adam W.M., MBBS, FRCS, FRCR; Tibbitts, Richard; Horn, Ansell© 2023.
Esperamos tu opinión y propuestas en nuestra sección de comentarios. Y si ya tienes acceso a ClinicalKey Student en tu universidad, ya puedes consultar más recursos, procedimientos, casos clínicos e intervenciones enfermeras aquí.
Cómo ClinicalKey Student puede ayudarte a pensar clínicamente
Acceso centralizado a recursos esenciales
Encuentra en un solo lugar libros, imágenes, vídeos y materiales actualizados específicos de enfermería, evitando la dispersión de fuentes y facilitando el estudio organizado.
Consulta clínica en cualquier momento
Accede online a tu biblioteca desde cualquier lugar para revisar conceptos y reforzar tu aprendizaje justo cuando lo necesitas, ya sea en casa, en clase o durante prácticas clínicas.
Recursos que enriquecen tu formación
Contenido basado en evidencia, herramientas de evaluación, imágenes clínicas y materiales exclusivos que fortalecen tus competencias y mejoran tu comprensión del cuidado enfermero.
Procedimientos de enfermería: aprendizaje integral
Integra procedimientos clínicos con guías prácticas y gestión de competencias, permitiéndote aprender paso a paso y aplicar cuidados seguros y eficaces.
Integración del proceso enfermero
Consulta y conecta las taxonomías NANDA-I, NIC y NOC para comprender diagnósticos, intervenciones y resultados, facilitando la planificación y evaluación del cuidado.
Apoyo al razonamiento clínico enfermero
El acceso rápido a contenidos y taxonomías te ayuda a tomar decisiones fundamentadas, seguir el proceso enfermero y ofrecer cuidados centrados en el paciente.
De estudiante a profesional: empieza hoy
Pensar clínicamente no es una meta lejana: es una habilidad que puedes empezar a desarrollar hoy mismo.
Esta serie te acompañará con ideas prácticas, estrategias de estudio y herramientas que te ayudarán a transformar tu forma de aprender..
Mientras tanto, te invitamos a dar el primer paso: estudia con intención, cuestiona lo que aprendes y comienza a pensar como un profesional de la salud. Da el primer paso ahora para transformar tu educación médica.

Contenido adaptado de Clasificación de Intervenciones de Enfermería (NIC).
Disponible en ClinicalKey Student.

Deja una respuesta